Informacje dla pacjenta

Rozumiemy, że wizyta u dentysty może budzić wiele pytań i obaw. Naszym celem jest zapewnienie komfortu i jasnych odpowiedzi na wszystkie Twoje wątpliwości. Chcemy, abyś czuł się bezpiecznie i świadomie podczas każdej wizyty. Poniżej zebraliśmy najczęściej zadawane pytania, aby pomóc Ci przygotować się na spotkanie z nami.

Często zadawane pytania

Odpowiadamy na najczęstsze pytania dotyczące leczenia, profilaktyki i ogólnego stanu zdrowia jamy ustnej. Jeśli nie znajdziesz odpowiedzi na nurtujące Cię zagadnienia, skontaktuj się z nami! Jesteśmy tutaj, aby pomóc.

Czy złamany ząb zawsze wymaga skomplikowanego leczenia?


Nie. Jeśli złamanie obejmuje jedynie część korony (czyli widoczną część zęba), w wielu przypadkach możliwa jest szybka i małoinwazyjna odbudowa kompozytem. To nowoczesna metoda, która pozwala precyzyjnie odtworzyć kształt oraz kolor zęba, dzięki czemu efekt jest bardzo naturalny.


Zabieg często można wykonać podczas jednej wizyty, bez konieczności bardziej zaawansowanego leczenia.

Jak wygląda odbudowa kompozytem?
To nowoczesna, małoinwazyjna metoda, podczas której:

✔️ odbudowujemy brakującą część zęba warstwowo

✔️ precyzyjnie dopasowujemy kolor do naturalnego uzębienia

✔️ odtwarzamy kształt i anatomię zęba

Warto jednak pamiętać, że każdy przypadek jest inny – dlatego po urazie najlepiej zgłosić się na wizytę, aby lekarz mógł ocenić zakres uszkodzenia i zaproponować odpowiednie leczenie.

 

Odbudowa zęba zgodna z jego naturalną anatomią – czy ma znaczenie? 🦷

Współczesna stomatologia to nie tylko usunięcie próchnicy i „załatanie dziury”. Prawidłowa odbudowa zęba powinna odtwarzać jego naturalną anatomię – czyli guzki, bruzdy i punkty kontaktu, które odpowiadają za prawidłowe funkcjonowanie całego układu żucia.
Dlaczego to takie ważne?
🔹 Prawidłowe żucie
Naturalna anatomia zęba pozwala równomiernie rozkładać siły podczas gryzienia. Zbyt płaskie lub źle ukształtowane wypełnienie może powodować przeciążenia.
🔹 Ochrona przed ścieraniem i pęknięciami
Guzki i bruzdy prowadzą ruchy żuchwy w odpowiedni sposób, dzięki czemu zęby nie ścierają się nadmiernie.
🔹 Lepsza higiena
Prawidłowo odtworzona powierzchnia zęba ułatwia oczyszczanie podczas szczotkowania i zmniejsza ryzyko ponownej próchnicy.
🔹 Komfort pacjenta
Dobrze wykonana odbudowa sprawia, że ząb „czuje się” naturalnie – bez uczucia przeszkadzania czy niewłaściwego zgryzu.
💡 Dlatego w nowoczesnej stomatologii tak duży nacisk kładzie się na precyzyjne modelowanie wypełnień, aby leczony ząb wyglądał i funkcjonował tak, jak przed pojawieniem się próchnicy.

 

Czy brak jednego zęba trzeba uzupełnić?


Tak, brak nawet jednego zęba warto uzupełnić.

Brak pojedynczego zęba – nawet w odcinku bocznym – uruchamia w jamie ustnej efekt domina.

Co zaczyna się dziać?

▪️ zęby sąsiednie zaczynają się pochylać

▪️ ząb przeciwstawny wysuwa się z kości

▪️ zmienia się zwarcie

▪️ pojawiają się przeciążenia

▪️ rośnie ryzyko ścierania i pęknięć

▪️ może pojawić się ból stawu skroniowo-żuchwowego.

Na początku „nic się nie dzieje”.

Po kilku miesiącach – organizm zaczyna się adaptować.

Po kilku latach – mamy już problem funkcjonalny.

 Brak jednego zęba to nie tylko kwestia estetyki.

To kwestia stabilności całego zgryzu.

Jeśli masz pojedynczy brak zębowy – warto skonsultować, zanim efekt domina się rozpędzi. Konsultacja protetyczna wyjaśni wszelkie wątpliwości i przybliży możliwe rozwiązania.

 

Leczenie endodontyczne - co to znaczy?

Leczenie endodontyczne, potocznie nazywane leczeniem kanałowym, to zabieg stomatologiczny polegający na usunięciu chorej lub martwej miazgi zęba (nerwu) z wnętrza zęba oraz dokładnym oczyszczeniu i wypełnieniu kanałów korzeniowych.

Kiedy potrzebne jest leczenie kanałowe?

Najczęściej wykonuje się je, gdy:

-próchnica dotrze do miazgi zęba,

-dochodzi do zapalenia lub martwicy miazgi,

-pojawia się silny ból zęba, szczególnie samoistny lub nocny,

-powstaje stan zapalny przy wierzchołku korzenia,

-ząb był uszkodzony urazem.

W naszym gabinecie leczenie endodontyczne przeprowadzane jest pod mikroskopem. To nowoczesna metoda leczenia kanałowego, w której stomatolog wykonuje zabieg przy użyciu mikroskopu zabiegowego. Dzięki dużemu powiększeniu i bardzo dobremu oświetleniu możliwe jest dokładniejsze opracowanie kanałów korzeniowych i większa precyzja leczenia.

Dlaczego mikroskop jest tak ważny?

Kanały korzeniowe są często bardzo wąskie, zakrzywione i trudne do zauważenia gołym okiem. Mikroskop umożliwia ich dokładne zobaczenie nawet przy kilkunastokrotnym powiększeniu, co pozwala na bardziej precyzyjną pracę.

 

Jak radzić sobie ze strachem przed dentystą (dentofobią)?

Rozumiemy, że wielu pacjentów odczuwa lęk przed wizytą u stomatologa. W Nivadent stawiamy na empatię i cierpliwość. Oferujemy rozmowę, podczas której wyjaśniamy każdy etap leczenia. Stosujemy również nowoczesne metody znieczulenia, w tym znieczulenie komputerowe, które minimalizuje dyskomfort i stres. Twoje dobre samopoczucie jest naszym priorytetem.

Jeśli bardzo boisz się wizyty u dentysty, warto to zgłosić podczas rozmowy z rejestracją. Dołożymy wszelkich starań, aby zminimalizować stres i stworzyć jak najbardziej komfortowe warunki podczas naszego spotkania.

 

 

 

Czym jest znieczulenie komputerowe i czy jest bezpieczne?

Znieczulenie komputerowe to nowoczesna metoda podawania środka znieczulającego, która jest precyzyjniejsza i mniej bolesna niż tradycyjne iniekcje. System kontroluje przepływ i ciśnienie znieczulenia, co znacząco zwiększa komfort pacjenta. Jest w pełni bezpieczne i rekomendowane nawet dla pacjentów z dentofobią.

 

Dlaczego moje zęby reagują na zimno lub słodkie?

 

 Wrażliwość na zimno lub słodkie pokarmy często świadczy o nadwrażliwości zębów, cofaniu się dziąseł, erozji szkliwa lub początkach próchnicy. Zalecamy osobistą wizytę w gabinecie stomatologicznym, aby zdiagnozować przyczynę i dobrać odpowiednie leczenie lub pastę do zębów.

 

Dlaczego moje zęby są nadwrażliwe? 


Nadwrażliwość zębów często nasila się pod wpływem codziennych nawyków żywieniowych. Produkty o kwaśnym pH mogą stopniowo osłabiać szkliwo i odsłaniać zębinę, co sprawia, że zęby reagują bólem na zimno, ciepło lub słodkie pokarmy.


Do produktów, które mogą nasilać nadwrażliwość, należą między innymi:
-woda z cytryną i inne napoje z dodatkiem cytrusów,
-owoce cytrusowe (cytryny, pomarańcze, grejpfruty),
-napoje energetyczne i izotoniczne,
-napoje gazowane, szczególnie typu cola,
-soki owocowe, zwłaszcza kwaśne (np. pomarańczowy, grejpfrutowy),
-kwaśne owoce takie jak kiwi, ananas czy porzeczki,
-ocet i produkty marynowane.

Częste spożywanie takich produktów może prowadzić do erozji szkliwa, czyli jego stopniowego rozpuszczania przez kwasy. W efekcie zęby stają się bardziej wrażliwe.


Aby ograniczyć objawy nadwrażliwości, warto:
-spożywać kwaśne produkty w trakcie posiłku, a nie między nimi,
-po ich spożyciu przepłukać usta wodą,
-odczekać około 30 minut przed szczotkowaniem zębów,
-stosować pasty do zębów przeznaczone dla zębów wrażliwych.


Jeśli nadwrażliwość utrzymuje się przez dłuższy czas, warto skonsultować się z dentystą – przyczyną mogą być także ubytki szkliwa, recesje dziąseł lub nieleczona próchnica.

 

 

Jakie są objawy próchnicy?

Początkowa próchnica często przebiega bezobjawowo. Z czasem mogą pojawić się białe lub brązowe plamki na zębach, nadwrażliwość na zimno/słodkie, ból podczas gryzienia oraz widoczne ubytki. Regularne wizyty kontrolne w gabinecie stomatologicznym pozwalają wykryć próchnicę na wczesnym etapie, zanim rozwinie się w poważniejszy problem.

 

Higienizacja - na czym polega? Czy jej potrzebuję?

Codzienne szczotkowanie jest bardzo ważne, ale nie usuwa wszystkiego.  Z czasem na zębach odkłada się kamień oraz nieestetyczny osad, które mogą prowadzić do próchnicy, stanów zapalnych dziąseł i nieświeżego oddechu.

Profesjonalna higienizacja pozwala dokładnie oczyścić zęby, wygładzić ich powierzchnię i przywrócić naturalna świeżość uśmiechu.

Zabieg najczęściej obejmuje:

-skaling - usuniecie kamienia nazębnego

-piaskowanie - usunięcie osadu i przebarwień

-polerowanie -wygładzenie powierzchni zębów

-fluoryzację

Regularnie wykonywana :

-zmniejsza ryzyko próchnicy

-chroni dziąsła przed stanem zapalnym

-pomaga utrzymać zdrowy i estetyczny uśmiech

Zabieg higienizacji jest także połączony z instruktażem higieny oraz badaniem stanu jamy ustnej.

Zalecamy przeprowadzanie higienizacji co 6-12 miesięcy, w zależności od indywidualnych potrzeb.

Czy wybielanie zębów jest bezpieczne dla szkliwa?

Profesjonalne wybielanie zębów przeprowadzone pod nadzorem stomatologa w gabinecie stomatologicznym jest bezpieczne dla szkliwa. Stosujemy sprawdzone metody i preparaty, które minimalizują ryzyko uszkodzenia zębów. Zawsze przeprowadzamy wstępną ocenę stanu jamy ustnej, aby upewnić się, że zabieg jest dla pacjenta odpowiedni. Jeśli w wyniku badania stwierdzimy potrzebę przeprowadzenia leczenia, bądź higienizacji, w pierwszej kolejności proponujemy te zabiegi, gdyż dobro pacjenta jest na pierwszym miejscu. 

 

Na czym polega zabieg wybielania zębów?

Jasny uśmiech odejmuje lat i dodaje pewności siebie.
Wybielanie zębów to szybki sposób na odświeżenie wyglądu – ale kluczem do pięknego i bezpiecznego efektu jest odpowiednie przygotowanie.


Zanim wykonamy zabieg:
✔ przeprowadzamy higienizację (usunięcie kamienia i osadów)
✔ sprawdzamy stan zębów i dziąseł
✔ leczymy ewentualne ubytki
✔ kwalifikujemy pacjenta do zabiegu


Wybielanie wykonujemy tylko przy zdrowych zębach – brak próchnicy i stanów zapalnych to podstawa, aby efekt był estetyczny i bez powikłań.

Stosujemy różne metody wybielania - zawsze dostosowane do stanu zdrowia jamy ustnej pacjenta:

1. Wybielanie nakładkowe (domowe)

Polega na stosowaniu indywidualnych nakładek przygotowanych w gabinecie. Pacjent wypełnia je specjalnym żelem wybielającym i używa przez kilka godzin dziennie lub w nocy przez kilkanaście dni. Metoda jest stopniowa, bardzo kontrolowana i pozwala uzyskać naturalny efekt.

2. Wybielanie gabinetowe

To zabieg wykonywany podczas jednej wizyty w gabinecie stomatologicznym. Stosuje się preparaty o wyższym stężeniu oraz specjalną lampę aktywującą, dzięki czemu efekt rozjaśnienia jest widoczny bardzo szybko.

3. Metody łączone

Często najlepsze rezultaty daje połączenie wybielania gabinetowego z nakładkowym. W gabinecie uzyskuje się szybkie rozjaśnienie, a następnie efekt utrwala i pogłębia wybielanie nakładkowe w domu.

4. Wybielanie zębów martwych

Wybielanie zęba po leczeniu kanałowym to zupełnie inna procedura. Preparat wybielający umieszcza się wewnątrz zęba, pod szczelnym opatrunkiem. Dzięki temu możliwe jest rozjaśnienie pojedynczego, przebarwionego zęba bez wpływu na pozostałe.


Masz pytania? Zapytaj podczas wizyty – chętnie wszystko wyjaśnimy 😊

 

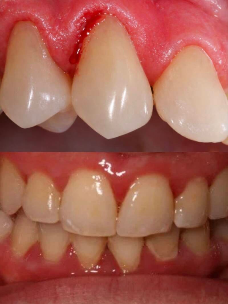
Dlaczego krwawią mi dziąsła podczas szczotkowania?

Krwawiące dziąsła to zazwyczaj objaw stanu zapalnego, najczęściej spowodowanego niewłaściwą higieną jamy ustnej i gromadzeniem się płytki nazębnej. Może to być zapalenie dziąseł lub poważniejsza choroba przyzębia. Niezbędna jest konsultacja w gabinecie stomatologicznym, aby ustalić przyczynę i wdrożyć odpowiednie leczenie oraz instruktaż higieny. Zapraszamy do gabinetu Nivadent, chętnie odpowiemy na bardziej szczegółowe pytania dotyczące stanu dziąseł i przyzębia.

 

Masz więcej pytań? Zadzwoń do nas!

Chcemy, aby każda Twoja wizyta w Nivadent była komfortowa i bezstresowa. Jeśli masz dodatkowe pytania, potrzebujesz porady lub chcesz umówić się na wizytę, jesteśmy do Twojej dyspozycji. Skontaktuj się z nami już dziś i zadbaj o zdrowy, piękny uśmiech w naszym gabinecie w Sieradzu.